Mặt móm là một thuật ngữ phổ biến trong lĩnh vực thẩm mỹ và nhân tướng học. Vậy mặt móm là gì và xem tướng người mặt móm như nào? Trong bài viết này, chúng ta sẽ tìm hiểu về khái niệm mặt móm và xem tướng người mặt móm có ý nghĩa gì trong nhân tướng học.

Thế nào là mặt móm?
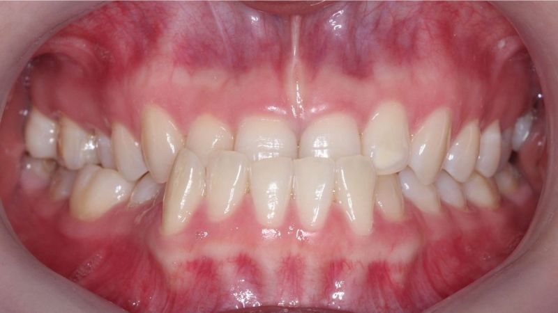
Để xem tướng người mặt móm được, chúng ta cần phải hiểu mặt móm là như thế nào. Mặt móm là kết quả của sự phát triển không đồng đều giữa xương hàm trên và xương hàm dưới. Xương hàm dưới phát triển quá mức so với xương hàm trên, khiến nó nhô ra phía trước nhiều hơn so với bình thường và môi trên hoặc cả hai môi thường co lại vào phía bên trong miệng.

Trong trường hợp móm nặng, khả năng kín miệng trở nên hạn chế và đôi khi không thể đóng miệng lại một cách bình thường. Phần lớn người bị móm nặng có khuôn mặt biến dạng, cấu trúc cằm của họ có thể trông giống như một lưỡi cày.
Như vậy, chúng ta đã tìm hiểu về khái niệm mặt móm và những đặc điểm chính của nó. Tiếp theo, chúng ta sẽ khám phá cụ thể hơn về việc xem tướng người mặt móm.
Xem tướng người mặt móm. Ý nghĩa của người mặt móm trong nhân tướng học
Trong lĩnh vực nhân tướng học, mọi đặc điểm trên gương mặt được coi là có mối liên hệ mật thiết đến vận mệnh của mỗi người. Việc xem tướng người mặt móm có ý nghĩa quan trọng để hiểu rõ hơn về tính cách và cuộc đời của họ.
Nam mặt móm
Đàn ông mặt móm thường có tính bảo thủ và cố chấp. Họ thường không chấp nhận ý kiến từ người khác và luôn kiên định vào quan điểm của mình. Sự cố chấp này khiến họ gặp khó khăn trong việc xây dựng mối quan hệ tốt với mọi người.
Vì vậy, trong sự nghiệp, họ thường gặp nhiều khó khăn, trở ngại và không thể đạt được thành công lớn dù có cố gắng đến đâu.

Về mặt tình cảm, mối quan hệ của những người đàn ông này thường không thuận lợi. Do tính cách của họ khiến cho việc xây dựng và duy trì mối quan hệ trở nên phức tạp.
Khi đã kết hôn, cuộc sống gia đình của họ cũng có thể không trọn vẹn và hạnh phúc, bởi họ luôn lo lắng cho sự phát triển và hạnh phúc của con cái.
Nữ mặt móm
Dáng mặt móm thường được xem là không mang lại vận khí tốt cho phụ nữ. Phụ nữ có khuôn mặt này thường trải qua cuộc sống khá khó khăn và không may mắn. Họ được cho là ích kỷ, cứng đầu và không chấp nhận lời khuyên từ người khác.
Về mặt tài chính, họ quản lý tiền bạc rất chặt chẽ vì tính cách tiết kiệm quá mức.

Trong tình duyên, phụ nữ có dáng miệng móm cũng không gặp được may mắn trong cuộc sống tình cảm. Họ trải qua nhiều khó khăn và thách thức trong tình yêu do tính cách khó tính và cứng đầu của họ. Cuộc sống gia đình của họ cũng thường không ổn định, họ thường lo lắng nhiều về con cái và gia đình.
Những ảnh hưởng của tình trạng mặt móm
Mặt móm không chỉ ảnh hưởng đến thẩm mỹ khuôn mặt mà còn gây ra nhiều vấn đề nha khoa đáng lo ngại. Một số ảnh hưởng nghiêm trọng của tình trạng này là:
- Mất thẩm mỹ: Răng móm làm cho các phần trên khuôn mặt mất sự cân đối. Trong trường hợp móm nặng, khuôn mặt bị biến dạng thành hình lưỡi cày, da bị giãn và lão hóa nhanh hơn so với độ tuổi.
Nếu bị móm nhẹ mà không để ý khắc phục, sau 1 thời gian răng sẽ bị xô lệch làm cho mặt trở nên méo mó.
- Chức năng ăn nhai giảm sút: Răng móm làm cho răng ở hai hàm trên và dưới không khớp nhau, dẫn đến khả năng ăn nhai bị hạn chế, việc cắn và xé thức ăn trở nên khó khăn hơn so với người bình thường.

Người bị móm thường ăn chậm do sợ cắn lẫn vào môi, khi đó thức ăn không được nhai kỹ, gây khó tiêu hóa và tăng gánh nặng cho dạ dày.
- Phát âm sai: Mặt móm gây ra sự không chuẩn trong việc phát âm, vì môi và răng không đối xứng với nhau, làm cho người bị móm e ngại trong việc giao tiếp.
- Khó vệ sinh răng miệng và tăng khả năng mắc bệnh: Vệ sinh răng miệng trở nên khó khăn hơn cho những người bị răng móm, mảng bám và vi khuẩn có thể tích tụ trên các bề mặt răng khó tiếp cận.
Họ có nguy cơ cao hơn mắc các bệnh lý răng miệng như viêm lợi, sâu răng, chảy máu chân răng và các vấn đề liên quan đến dạ dày, tim mạch và khớp thái dương hàm.
Việc chẩn đoán và điều trị sớm cho tình trạng mặt móm là rất quan trọng để ngăn ngừa những tác động tiêu cực này đối với sức khỏe và cuộc sống của bạn.
Có nên khắc phục mặt móm không?
Khi gặp tình trạng mặt móm, việc khắc phục là cần thiết để tránh những vấn đề nghiêm trọng về sau. Việc tư vấn và lựa chọn phương pháp điều trị thích hợp sẽ do nha sĩ chuyên nghiệp quyết định dựa trên tình trạng cụ thể của mỗi khách hàng. Có nhiều cách điều trị mặt móm như:
Bọc răng sứ
Trong trường hợp răng mọc sai lệch dẫn đến tình trạng mặt móm nhẹ, các bác sĩ sẽ đề xuất bạn thực hiện phương pháp bọc răng sứ. Trong quy trình này, bác sĩ sẽ tiến hành mài bỏ một phần của răng sau đó chụp mão sứ để gắn vào, tạo ra một hàm răng thẳng và đều đẹp hơn.

Lưu ý rằng, đối với những trường hợp răng móm ở mức độ nặng hoặc có sự sai lệch lớn trong cấu trúc răng và hàm, bọc răng sứ không phải lựa chọn tốt nhất. Trong những tình huống này, bọc răng sứ không khắc phục được mà còn làm yếu đi cấu trúc răng và gây ra các vấn đề khác.
Niềng răng
Niềng răng được xem là phương pháp tốt nhất để khắc phục tình trạng mặt móm. Nếu tình trạng mặt móm được phát hiện và điều trị sớm ở trẻ nhỏ, việc niềng răng kết hợp với sử dụng một số thiết bị hỗ trợ chức năng như mặt phẳng nghiêng, khí cụ ngoài mặt,… sẽ rất dễ dàng và hiệu quả.
Với các tình trạng răng móm do răng và có sự sai lệch xương ở mức độ nhẹ hoặc trung bình, phương pháp niềng răng cũng đem lại hiệu quả hoàn hảo, cải thiện vẻ đẹp và chức năng nhai cắn của răng miệng.
Đặc biệt, tình trạng răng móm kèm theo sự sai lệch xương nặng, việc phát hiện và điều trị từ khi trẻ còn nhỏ vẫn có thể áp dụng niềng răng với hiệu quả đáng kể. Tuy nhiên, nếu phát hiện quá muộn sau khi trẻ đã qua giai đoạn phát triển, phương pháp niềng răng cần phải kết hợp với phẫu thuật hàm để khắc phục.

Phẫu thuật hàm
Phẫu thuật chỉnh hàm móm là một phương pháp được đề xuất trong trường hợp tình trạng mặt móm nặng do sự sai lệch của xương hàm gây ra. Đây là một kỹ thuật không hề đơn giản, yêu cầu sự can thiệp của bác sĩ có tay nghề, chuyên môn kỹ thuật cao.

Vì vậy, trước khi quyết định tiến hành phẫu thuật, bạn cần tìm đến các cơ sở thẩm mỹ viện uy tín để đảm bảo rằng quá trình điều trị được thực hiện an toàn chất lượng và hiệu quả.
Tập Mewing
Ngoài các phương pháp điều trị nha khoa, bạn cũng có thể tự cải thiện tình trạng mặt móm ngay tại nhà thông qua việc thực hiện kỹ thuật Mewing. Phương pháp này giúp bạn hít thở đúng cách và tập trung vào việc đẩy và nâng cao hàm trên của mình, từ đó làm cho khuôn mặt trở nên cân đối hơn.
Hơn nữa, thực hiện kỹ thuật Mewing kết hợp cùng quá trình niềng răng có thể cải thiện hiệu quả điều trị.

Tuy nhiên, để đảm bảo tính chính xác và tránh tác động ngược, bạn nên tham khảo ý kiến của nha sĩ trước khi bắt đầu thực hiện bài tập Mewing.
Làm đẹp mặt mong rằng qua bài viết này đã giúp bạn hiểu rõ hơn về tình trạng mặt móm cũng như việc xem tướng người mặt móm. Nếu bạn cảm thấy thiếu tự tin về tướng mặt móm của mình hoặc muốn cải thiện nó, hãy tham khảo ý kiến của các chuyên gia về nha khoa để tìm giải pháp phù hợp nhất.

Bình luận